Knie

  • Kniegelenkspiegelung
    • Akute oder chronische Verletzungen von Menisken, Knorpel oder Kreuzbändern können im Rahmen einer Arthroskopie behandelt werden.
  • Endoprothetik
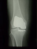
    • Verschleiß der Gelenkflächen kann zu einer schmerzhaften Einsteifung, Fehlstellung oder Instabilität des Kniegelenkes führen. Moderne Prothesen ersetzen ein, zwei oder alle drei Gelenkanteile (die Innenseite, die Kniescheibe und ihr Gleitlager, die Außenseite). Die Prothesenteile sind ungekoppelt oder – bei Vorliegen einer Instabilität – achsgeführt und zumeist zementiert.
    • Durch Knochenerweichung (Osteoporose), Entzündung, Knochenbruch oder andere Ursachen kann eine Prothesenlockerung auftreten. Dann werden einzelne Komponenten oder die ganze Prothese gewechselt. Zum Einsatz kommen Standard- oder Spezialprothesen. Beim Protheseninfekt kann auch eine Interimsprothese aus Antibiotika-beladenem Knochenzement für einige Wochen eingesetzt werden.
Zweidrittelprothese Zweidrittelprothese Oberflächenprothese Oberflächenprothese